診療案内
診療案内
※クリックすると説明が表示されます。
※小児だけでなく成人も対応しております
初診時
患者さんの一番気になっているところをお聞きした上で、お口の中を拝見させていただきます。
その後、おおよその診療の流れと費用について及び一般的な治療の方針についてをみながら、
矯正について、一般的な治療の方針についてお話しいたします。
(相談料はかかりません。気軽に相談ください)
診療及び検査
患者さんが、当医院で診療を希望されれば、精密検査を行います。資料として、X線写真、顔貌写真、口腔内写真、石膏模型、咬み合わせの記録など、
患者さんの症例に応じて採得いたします。
コンサルテーション
前回採得した資料を用いて、詳細な診断治療計画、期間、金額、支払方法などに
ついてお話しいたします。コンサルテーションの内容に同意いただけますと、治療開始となります。
装置の装着
診断の結果、抜歯が必要な方は、最後の抜歯が終わってから概ね一週間後に矯正装置を入れていきます。
抜歯の必要の無い方は、コンサルテーション後に、御希望のアポイントをいれてください。
初回診療時間は、3時間が目安で、上下とも装置を入れます。
【基本矯正料 700,000円~1,200,000円(※全顎矯正の場合)】
セラミック装置を選択した場合、部分矯正の場合は、金額が異なりますのでお問い合わせください。
毎月の調整
ブラッシング確認。(必要な場合は再度ブラッシング指導を行います。)ワイヤー、装置の調整。(~30分)
装置の除去
歯並びが綺麗に整ったら、ブラケットを外します。
資料採得(術前と同じ)保定装置の使用を開始します。
術後の観察
後戻り、成長について観察していきます。
観察期間として、ブラケットの付いていた期間から1.5倍が一般的です。
歯のないところに自分や身内の方の使っていない歯を移植する治療法です。手術料125,000円
歯牙移植は、自家移植と他家移植の2種類あります。
自家移植
自家移植は、自分の歯を歯のないところに植え替えます。技術的には難しいですが、当クリニックは15年前から100例以上てがけており5年間の成功率は95%以上です。インプラントのように異物を入れるわけではありませんので、より生体にやさしい方法です。
■症例(術前)
左の写真は右前からみたもの、右の写真はお口を開けた状態から見たものです。
上の歯は全部で8本しかありません(14本が正常)からあまり噛めないようでした。
下は14本全部揃っていても上がなければ使用していない歯が無駄になっています。
■症例(術後)
下の歯2本を上の歯のないところに植えました。 上に歯が2本増えています。下の歯を上に植えています。10年以上使っていただいております。
他家移植
他家移植は家族などから要らなくなった歯を(矯正治療で歯を抜く場合や親知らずを抜く場合など)植える方法です。免疫反応が親子間でもおこりますから一生もつわけではありませんが5年以上は使えます。
■症例(術前)
下の画像はレントゲン写真になります。レントゲンの見方ですが、向かって左がその患者さんの右になります。ちょうど向かい合わせになっていると思ってください。硬いところ(金属、歯、骨)は白く映り、柔らかいところ(歯肉、頬、唇)はほとんど黒くなって映りません。(根の中の白いのは硬いものではなくバリウムの様な造影剤が入っています
この患者さんは左上が4本なく、左右の下は3本ずつ合計で6本歯がありませんでした。そのため上下で入れ歯を入れていました。
娘さんが矯正治療で歯を4本抜くことになった為、その4本をお母さん(この患者さん)に植えることにしました。
■症例(術後)
右の画像は娘さんの歯を4本植えたところです。左上に2本、左右の下に1本ずつ植えています。その為入れ歯がなくても噛めるようになりました。しかし下は約5年しか使えませんでした。免疫反応で体が要らないものだと、吸収してしまうのです。上は10年以上使えています。
ホワイトニングは、歯の変色に対し手軽に行なえる治療法です。
全く削らずに薬剤を用いて歯を白く致します。
ホワイトニングには主にクリーニングとオフィスホワイトニングの2種類があります。
クリーニング
研磨する機械や、粉末の粉(炭酸水素ナトリウム)と水圧によって歯についてしまったヤニや茶渋などの汚れを落とす治療です。歯に付着した汚れを取ると同時に歯石をとりますので、お口の中が清潔になります。
オフィスホワイトニング
クリニックで白くする方法で、強い薬が使えますので効果が高く1時間程度で白くなります。
約35%の過酸化水素水とお薬を歯の表面に塗り、光線をあてる方法です。
■術前(例1)
この方は幼少のとき(永久歯がまだ完全にできていなくてあごの中で作っているとき)に風邪などをよくひいた為、抗生物質使用の副作用で歯の変色(テトラサイクリン歯)を招きました。
■術後(例1)
まず上の歯だけ1回ホワイトニングを行いました。術前の写真のときは上下が同じ色でしたが、上下の色の違いががお解かりになると思います。
■術前(例2)
この患者さんも幼少の時に病弱で抗生物質を多用しテトラサイクリン歯になってしまっています。
■術後(例2)
程度がひどい方ですので何回かホワイトニングを繰り返した術後です。
お口が開けられなったり痛んだり音がすることが噛合せに原因がある場合の治療法です。
TMJは顎関節の略で正式には病名ではありませんが、ここでは顎関節症の治療のことをさします。
顎関節症は口が開けられなかったり開けにくかったり、耳の手前の顎の関節に痛みがあったり、口の開け閉めの時に音がしたり、筋肉が痛む病気です。
発症してから1年以内だと治り易いのですが、時間の経過とともに治りにくくなります。
噛み合わせが原因の場合は医者が治療できますが、全身にひずみがある場合的確な整体治療が必要になります。
整体治療あり(要予約)藤田先生へ。治療法は的確な診断と治療が大切で。理解しにくいのですが症例にそって説明いたします。
■症例 左の顎の痛みのある患者さんです
左上の写真は正面から見たところで、何の異常も無いように思われます。しかし下から見たところが右の写真ですが、患者さんの左側(写真の右側)には上の歯と下の歯に隙間があります。
左右の写真を見比べると違いがわかります。
患者さんの右側 上下で噛みあわせている状態を見ると1本の歯が2本と噛みあっています。つまり下のひとつの歯が上の2本の歯の間に接しています。このため上の顎と下の顎はがっちりかみ合って動かず安定しています。(正常な咬み合わせの基本です)
患者さんの左側 上の歯と下の歯が1対1です。滑りやすくあまり顎が安定しません。(異常になり易い歯と歯の関係です)
このことから左側の(患者さんの)咬み合わせが不安定であることがわかります。
患者さんの左側の咬み合わせが不安定であるため、患者さんの左側(写真では右)に割り箸を噛んでいただき、患者さんの右側に力を入れてもらうと数分で患者さんの左側の関節の痛みはとれました。
このことから患者さんの左側の咬み合わせは奥側(後頭部)、及び上側に向かってずれていることが判ります。
咬合器といって咬みあわせを診る機械に取り付けた患者さんの上下の模型です。口の中では見えない情報がたくさんあります。(咬合診断することにより咬みあわせが病的か知ることができます)
右の写真は患者さんが右側(患者さんの右、向かって左)で咬んでいます。割り箸を患者さんの左で咬むとこの位置になります。この位置で咬めば患者さんは関節に症状は出ないのです。ところが患者さんの左に顎をずらすと左の写真のように下の顎が患者さんの左奥にずれます。そして関節に症状がでます。つまり患者さんの右側で咬めば症状は出ないのに、患者さんの左のかみ合わせが不安定でずれてしまい症状が出てしまうのです。
■治療
咬みあわせを患者さんにとって楽な位置に変えようとすると左右の奥歯全部を削ることになって、虫歯でもない健康な歯にダメージを与えることになります。ですから上の写真のようにスプリントといって取り外しができてかみ合わせを変える装置を入れて調整していきます。
スプリントの使用だけで良くなる事もあれば、スプリントをはずすと元にすぐ戻ってしまい歯を削らなければ直らない場合もあります。
この患者さんの場合患者さんの左の咬みあわせが不安定なことが原因でした、ですから患者さんの上下左側の6本の歯の形を変えることによって(患者さんの右側の歯は変化させることなく)、かみ合わせを修正することができました。約半年間症状が出ないかどうか経過をみて仮の歯を最終的なものに変えていきました。
左の写真が術前右の写真が術後で症状がなくなって半年以上経った時のものです。
上顎の正中線(一番真ん中の前歯と前歯の間)を基準に見ていただくと、下の顎が1,2ミリ右にずれているのがわかります。左のかみ合わせを変えただけで3次元的に下顎は動きます。このことにより顎の関節が問題の無い位置に移動します。
歯を支えるまわりの組織が破壊される病気を治す治療です、自然挺出 エムドゲイン GTR等
歯周病(歯槽膿漏)は成人のほとんどの方が罹患しています。歯周病の原因は歯垢(プラーク)です。
治すためには歯周病にどうしてなるのか知る必要があります。まずその原因の歯垢は何でしょうか
■歯垢とは
左上の写真の歯と歯肉の境目にある白い酒粕のような塊が歯垢です。右上の写真はそれを歯ブラシでかき出し拡大したものです。
これは何か?細菌の塊なのです。1ミリ四方に約100億の細菌がいます。この中にはいろいろ(人や場所によっている細菌の種類、数は違います)な細菌がいて外側にはバリアーのような膜を作って共存しています。
実験で歯周病の方の歯垢をとってネズミに注入すると1週間程で注入したネズミの部分に穴が開きます。それほど細菌の毒素は強いのです。
■歯垢除去の効果
左はひどい歯周病の患者さんの初診時の写真です。上の歯の歯肉が赤く腫れていてさわるだけでもいたそうですし、簡単に出血しそうです。下の歯肉は腫れて歯にそって赤みを帯びています。
この患者さんも歯ブラシをしていなかったわけではありません。歯ブラシの毛先を当てていたのが歯だけでした。そのため数回に分けて歯ブラシで歯と歯肉の境目を当てていただくようにしました。
右上の写真はそれから約2ヶ月後のものですが、上の歯の歯肉は赤みや腫れが無くなり、下の歯肉も締まってきました。
歯ブラシの指導以外で歯周病に関する治療はしていませんのに、このように歯垢を取れれば簡単には歯肉は良くなるのです。
■歯周病はどのようなもの
正常な歯周組織(左上図)
正常な状態の歯周組織は歯肉がきれいなピンク色で、引き締まっています。また歯を支える骨も歯の頭と根の境目ぐらいまで存在します。
中等度の歯周病(左下図)
しかし歯と歯肉の境目(健康な場合サルカス、病的に深くなると歯周ポケットと呼びます)に歯垢がたくさん溜まって病原性が強くなると、体の抵抗力が負けてサルカスがはがれて深くなっていきます、もちろんそれに伴って骨もとけていきます。このときの進行速度は人や歯の場所によって違います。恐ろしいことに痛みはないため本人は変化に気がつかないことがほとんどです。
重度の歯周病(右下図)
本人が歯周病に罹っていることを知らずに、これまでと同じようなブラッシングを継続しているとさらに歯周ポケットは深くなり、
歯を支える骨もとけていきます。この段階まで進むと歯肉の腫れや痛み、歯の動揺が出できて本人が気がつくこともあります。このまま放置すればやがて歯はぐらぐらになって痛みを伴い抜けてしまいます。
歯周病の恐ろしさは、
重度になるまで気がつきにくいこと。
いったん無くなってしまった骨は再生が難しく(場合によっては可能)現状維持が基本治療の目標
全身的な病気と関連があること、 心血管疾患や糖尿病の発症のリスクが高い。
■歯周病の歯を放置すると
歯周病の歯の末期です。左はレントゲンですが真ん中の歯は根の先の周りまで黒くなっています(レントゲンで何も無いか柔らかいところは黒く映り、硬いところ骨などは白く映ります)根の先のほうまで骨がとけて歯を支える骨はありません。
右が抜けてしまった歯です。根の周りは黒い歯石や歯垢がつき、先は歯肉の一部がついているだけです。
ここまで進行すると助けようがありません。実に恐ろしいことでこんな状態の歯を毎日のように見ている私たちは丁寧な歯ブラシを欠かさないことが当たり前かもしれません。
■歯周病の基本治療(治療は原則的に保険の範囲内です)
■特殊な歯周治療1(自然挺出法)
骨縁下ポケットという歯の周りの骨が著しくなくなってしまった歯についての治療法です。
また抜かなければ駄目だと診断された歯に関しても最後の望みとして使えるかどうかの診断にもなります。
外科的なことをしないで、体の治癒力にまかせた保険範囲内の治療です。欠点は期間がかかることです。
左上のレントゲン写真では一番右の歯とその左に詰め物が入っている歯(詰め物は歯の頭のところが一番白く写っているところです)の間の骨が無くなっています。その為奥の親知らず(レントゲンでは右側)を抜いて問題の歯を下の歯と咬まないように削っていきます。そうすると病気のある歯は下に下りていきます。
さらに下に下りてきた歯を削っていくと、骨のなかったところに骨ができたように見えます。実際は歯の挺出に伴って骨が降りてきただけなのです。しかし歯周病の治癒がなされています。
■特殊な歯周治療2(GTR法、エムドゲイン)
歯の周りの失った骨を再生する方法です。
骨が無くなってしまったところは、上皮(歯肉など)で満たされているため骨が治りたくてもその場所が無いため、一旦その上皮を外科的に取り除き骨ができるのを阻害する組織を人工の膜で入り込まないようにして骨の造成を促す方法がGTR法です。膜の代わりに骨誘導蛋白を骨の無いところに塗布し骨の再生を促す方法がエムドゲインです。
ここでは術式の難しいGTR法を紹介いたします。
左上はひどい歯周病の歯にプローブといって歯周ポケットの深さを測る器具を入れている写真です。
右上図を見ていただくと歯肉に隠れている骨がなくなってしまっている量を深さを測ることによって知ることができます。
右上図をふまえて左上を見ていただくと約8ミリポケットが入ります。歯の根の長さは10ミリぐらいですから2ミリ程度しか骨が残っていません。かなり重症ですね。
左上の写真の矢印がプローブを入れた深いところです。歯肉を移動していますから歯の周りに骨があるべきなのに、この歯の周りだけ骨がすり鉢状に無いですね。その為悪い歯の根の周りの悪い組織や汚れを掻きだしました。
その後骨が再生しやすいように右図のように人工の膜を設置して4週間程待ちます。
上の写真は4週間待って人工の膜を除去したところです。骨様組織ができているのが矢印のところです。
左上は術前のレントゲン写真です。矢印のさしているあたりが骨がなくなっている一番深いところです。右上は術後約1年後のものですが、左上写真の矢印の位置はほぼ同じですから骨が出来てきているのがわかります。
予防治療でお口の中の細菌や汚れを徹底的に除去します。プロフェショナルトゥースクリーニングの略で簡単にいえばプロによるお口の中の清掃です。歯ブラシはで取りきれない細菌の集合体(バイオフィルム)や沈着物をとる事ができます。
予防には欠かせないことで、虫歯や歯周病に罹っていた方に対して、治療の終わった後のメインテナンスです。
このことを定期的に(人によって1ヶ月に1度や2、3ヶ月に1回で個人差があります)行った方と行わない方の差は10年後で
行った方は失った歯が約0から2本、行っていない方は10本以上歯を失っています。
■歯周病に対するPMTC
歯周病に罹った方は、もともと歯周病になり易い口の中の環境を持っています。歯周病菌が多く、抵抗力も低いです。
その為通常よりも歯垢(プラーク)を歯と歯肉の間の隙間から取り去る必要があります。日常行う歯ブラシでは取りきれないプラークが歯と歯肉の境目に堆積しているので、取っているところです。
痛みはなく、術後にはさっぱりしますし、歯肉の健康状態がよりよくなります。
■虫歯に対するPMTC
虫歯が多い方は、やはり口の中に虫歯菌を多く保有し、虫歯菌の集合体であるバイオフィルムが多いです。その多くは不溶性グルカンといって水に溶けにくい性質で歯ブラシでは取れません。
そのためフッ素を混和した研磨剤と機械を用いてバイオフィルムを取ります。
左上は歯と歯の間のプラーク、バイオフィルムを取っているところです。
使用している先は柔らかいゴム状のもので安全です。
いつもブラッシングが出来ている方は痛みも無くさっぱりして気持ちがいいと言われます。
右上は歯の表面をラバーカップといって柔らかいもので、プラーク、バイオフィルムを取っているところです。
完全に歯の表面の汚れを取り去ってフッ素を塗布しますから、日常にフッ素を使用するよりも効果はてきめんです。
基礎治療で薬を使った再発のほとんどない歯の根の治療です。歯内療法とは根の治療のことです。
虫歯が神経まで完全に到達していたり、根の先に病気があって咬むと痛い場合などに必要です。
左上の絵のように虫歯が歯の神経(歯髄)に達すると、細菌が歯髄の中に侵入します。
細菌が入ってしまうと歯髄は壊死していき、歯の中の歯髄腔(歯髄のあった空間)は細菌の巣になってしまいます。
放置すると骨にまで細菌が侵入し感染が広がり、骨がとけて場合によっては重篤な病気になります。
細菌が血液中に入り心臓や他の臓器に行って病気を起こすことは各方面で発表されています。
その為右絵のように歯医者が歯髄を除去しその空間をきれいにします。
歯髄のあった空間にはプレデンチンとよばれる細菌の栄養になるものもあるため、やすりの様な器具で拡大をかねて清掃します。
時間のかかる治療です。
なぜなら歯髄のあった空間は大きくしないときれいになりませんが、大きくしすぎると歯そのものの厚さが薄くなり咬むちからに耐えられなくなり割れていしまいます。
神経のあった空間をきれいにするには、大きくしたいけれど大きくしすぎると歯が駄目になってしまう。
矛盾することをクリアするには、やすりの様な器具で最小限の拡大をするため時間がかかります。
歯髄腔がきれいになった後、隙間が空いたままですと細菌が侵入し病気の原因になりますから、
人体に無害なもので空間を密閉します。
密閉した状態を根管充填といいます。左上がその状態です。
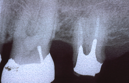
■症例
左上レントゲンは治療前の状態です
向かって右の歯の左側の根の先が人差し指の先ぐらいの大きさに黒く見えます。非常に大きな病巣です。
骨は正常であればレントゲン上では白く見えるのに黒くなっているのは骨がとけてしまっています。
ここまで大きくなってしまうと直らないことも十分にあり場合によっては歯を抜くこともあります。
しかしなるべく歯は抜かないで保存した方が良いので、他の歯や組織に害をなさなければ保存治療を試みます。
左上レントゲンは原因の根管の長さを測り、歯髄腔を清掃します。
通常は歯髄腔がきれいになった時点で最終的な薬で埋めますが、この症例の場合病巣が大きいのでアルカリ性の薬剤を注入し組織の治癒力を活性化します。その後混合した抗生剤を注入し組織を殺菌消毒します。
期間を少しおいてから歯髄腔に最終的な薬をつめます。右上レントゲンがつめ終わったところです。
治療を開始してから約半年後のレントゲンが左上です。
根の先の黒く透けていた病巣部分が白くなり骨で埋まり直っています。
駄目かな?と考えていた歯が正常に機能することはたいへんうれしいことです。
動きがほとんどないため良く噛めて金具の見えない入れ歯です
総入れ歯です。作り方が違うので動きが少なくよく噛める入れ歯の作成方法があります